The research findings on the impact of generative AI like ChatGPT on learning and cognitive processes reveal both positive and negative effects, depending on how it's used. Here are the key conclusions from each section:
I. Cognitive Impact
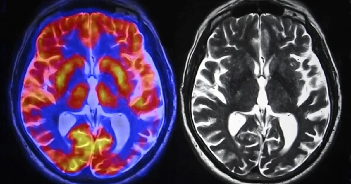
Harm Side:
- Brain Activity Changes: Studies show that using LLMs can reduce brain activity in areas associated with problem-solving and critical thinking.
- Neural Pathways Alteration: Frequent use of AI tools may lead to a shift towards more passive cognitive pathways, potentially diminishing the development of analytical skills.
Help Side:
- Scaffolding Learning: When designed properly, AI can enhance learning by providing guided questions that encourage deeper engagement and critical thinking.
- Neuroplasticity Benefits: AI-assisted learning that promotes active problem-solving may actually strengthen neural connections associated with cognitive flexibility and creativity.
II. Brain Function
Harm Side:
- Decreased Cognitive Load but Lower Quality Reasoning: Using LLMs can make tasks feel easier, but this ease comes at the cost of reduced quality in reasoning and argumentation.
- Metacognitive Laziness: Students may rely too heavily on AI for feedback and evaluation, leading to a
Read the full article at The Algorithmic Bridge
Want to create content about this topic? Use Nemati AI tools to generate articles, social posts, and more.

![[AINews] The Unreasonable Effectiveness of Closing the Loop](/_next/image?url=https%3A%2F%2Fmedia.nemati.ai%2Fmedia%2Fblog%2Fimages%2Farticles%2F600e22851bc7453b.webp&w=3840&q=75)



